Today's new horror: necrotizing fasciitis of the vulva
By Seamus Bellamy
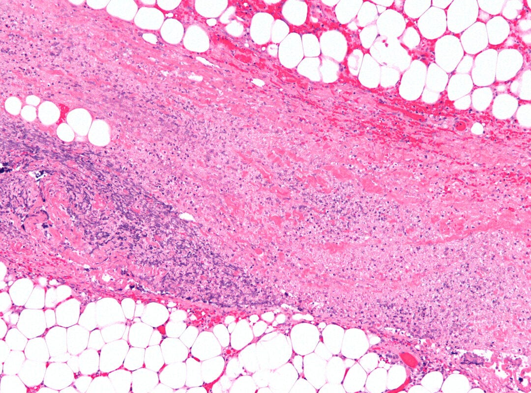
Doctors in the U.K. report a rise in the number of cases of necrotizing fasciitis of the vulva.
Doctors at the Shrewsbury and Telford Hospital NHS Trust detailed three such cases in a paper published this month in BMJ Case Reports. All three women were hospitalized, and one died as a result. These cases are pa…



